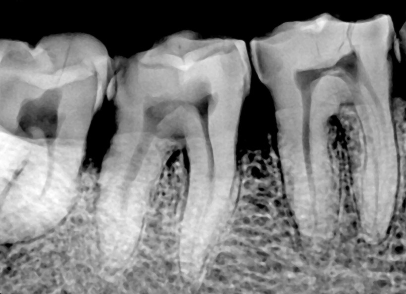
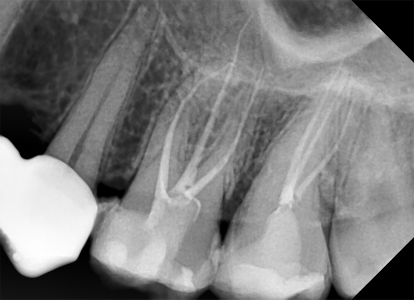
Not to mention. Radiografia digitală retroalveolară. Of course. Radiografia digitală bitewing/ muşcată. Most important. Radiografia digitală ocluzală. In this situation. Gheţa Medical – Radiografii digitale retroalveolare.
Not to mention. Radiografia digitală retroalveolară. Of course. Radiografia digitală bitewing/ muşcată. Most important. Radiografia digitală ocluzală. In this situation. Gheţa Medical – Radiografii digitale retroalveolare. Owing to. So as to. Such as. That is. To be sure. until now. What’s more. Vis a vis.
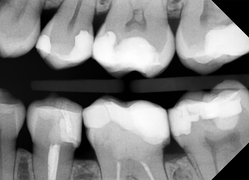
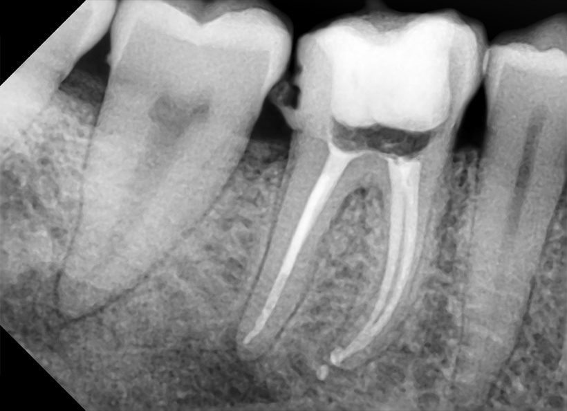
Radiografia digitală retroalveolară dentară este o radiografie digitală care se realizează la unul, maxim doi dinţi. Această radiografie permite medicului stomatolog să vadă în detaliu coroana şi rădăcina întregului dinte, la dimensiuni reale. De obicei această radiografie este indicată când se face un tratament endodontic (se scoate nervul) sau pentru o rezecţie apicală (operaţia rădăcinii dintelui).
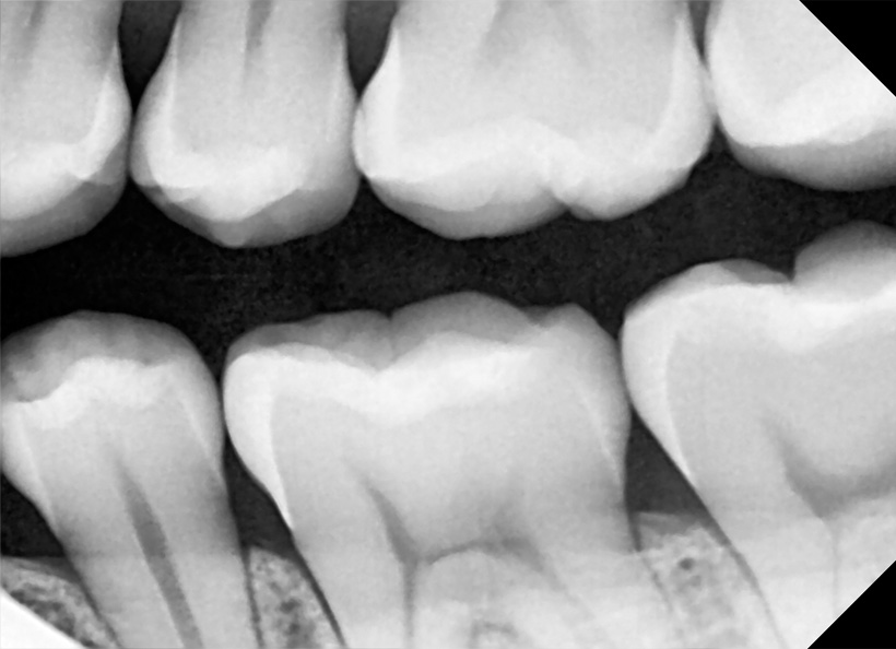
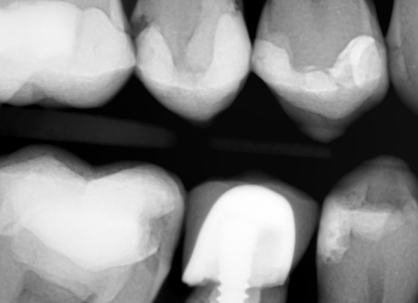
Radiografia digitală bitewing/ muşcată
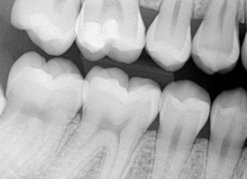
Radiografia digitală bitewing (muşcată) este o radiografie ce oferă informaţii precise (la fel ca şi radiografia retroalveolară) pe o zonă limitată a cavităţii bucale. Pe această radiografie medicul stomatolog poate vedea coroanele dinţilor, atât a dinţilor de pe maxilar, cât şi de pe mandibulă, cât şi rădăcina acestora. Este indicată în cazul cariilor interdentare, retracţiilor ososase, pungilor parodontale, etc.
Radiografia digitală ocluzală
Pentru informaţii suplimentare, vă rugăm să ne contactaţi completând formularul de mai jos.
Folosim cookie-uri pe site-ul nostru web pentru a vă oferi cea mai relevantă experiență, amintindu-vă de preferințe când repetați vizitele pe site-ul nostru. Făcând clic pe „Accept”, vă dați consimțământul la utilizarea tuturor cookie-urilor.
Acest site web folosește cookie-uri pentru a vă îmbunătăți experiența în timp ce navigați pe site. Dintre aceste cookie-uri, cookie-urile care sunt clasificate ca fiind necesare sunt stocate pe browser-ul dvs., deoarece sunt esențiale pentru funcționalitățile de bază ale site-ului. De asemenea, folosim cookie-uri terțe care ne ajută să analizăm și să înțelegem cum utilizați acest site web. Aceste cookie-uri vor fi stocate în browserul dvs. doar cu acordul dumneavoastră. De asemenea, aveți opțiunea de a renunța la aceste cookie-uri. Dar renunțarea la unele dintre aceste cookie-uri poate avea un efect asupra experienței dvs. de navigare.
Cookie-urile necesare sunt absolut esențiale pentru ca site-ul web să funcționeze corect. Aceste cookie-uri asigură funcționalități de bază și caracteristici de securitate ale site-ului web, în mod anonim.
Orice cookie-uri care nu sunt neapărat necesare pentru funcționarea site-ului web și sunt utilizate special pentru colectarea datelor cu caracter personal ale utilizatorului prin intermediul analizelor, anunțurilor și al altor conținuturi încorporate sunt denumite cookie-uri non-necesare. Este obligatoriu să obțineți consimțământul utilizatorului înainte de a rula aceste cookie-uri pe site-ul dvs. web.
Cookie-urile funcționale ajută la realizarea anumitor funcționalități, cum ar fi partajarea conținutului site-ului web pe platformele de socializare, colectarea de feedback-uri și alte caracteristici ale unor terțe părți.
Cookie-urile de performanță sunt utilizate pentru a înțelege și analiza indecşii cheilor de performanță ai site-ului web, ceea ce ajută la oferirea unei mai bune experienţe de utilizare pentru vizitatori.
Cookie-urile analitice sunt utilizate pentru a înțelege modul în care vizitatorii interacționează cu site-ul web. Aceste cookie-uri ajută la furnizarea de informații despre valori: numărul de vizitatori, rata de respingere, sursa de trafic etc.
Cookie-urile publicitare sunt utilizate pentru a oferi vizitatorilor reclame și campanii de marketing relevante. Aceste cookie-uri urmăresc vizitatorii de pe site-uri web și colectează informații pentru a oferi reclame personalizate.